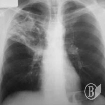
Півтисячі хворих на туберкульоз. Офіційно
За 9 місяців поточного року медики зареєстрували в області 519 випадків захворювання на туберкульоз. 16 хворих – діти.
Майже 30% туберкульозу легень виявляється вже при розпаді легеневої тканини.
Відео ТРА «Новий Чернігів».
У 12-ти районах області відмічено зростання захворюваності, а у 5 з них ситуація критична. Це Куликівський, Варвинський, Козелецький, Борзнянський та Ічнянський райони.
| Версія для друку Відправити по e-mail Обговорити на форумі |
| Переглядів : 8829 |




















Додати коментар: